Klinische Knacknüsse – Periimplantitis: Biologische Komplikationen

Die Fortbildungsreihe «Klinische Knacknüsse in der Zahnmedizin» bietet Zahnärztinnen und Zahnärzten sowie Zahntechniker:innen praxisnahe Einblicke in komplexe, oft herausfordernde Fälle aus dem klinischen Alltag. Ziel ist es, schwierige Diagnosen und Behandlungsstrategien zu beleuchten und das Wissen in speziellen Fachbereichen zu vertiefen.  Durch Fallbeispiele und interaktive Diskussionen werden Lösungsmöglichkeiten erarbeitet, die sich direkt im Praxisalltag umsetzen lassen.

Allgemeine Informationen

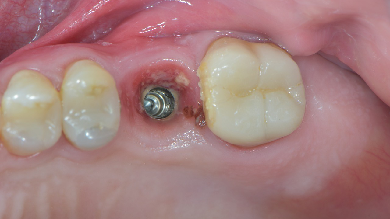
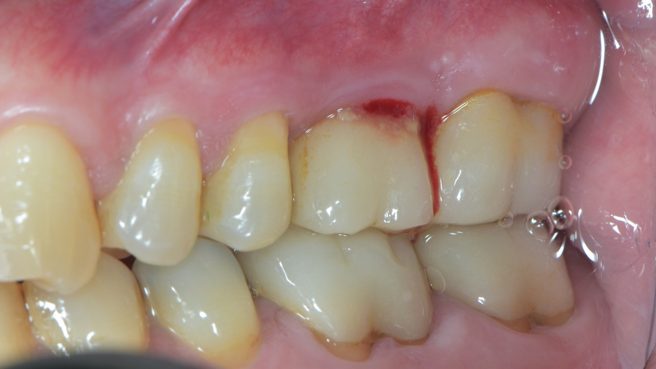
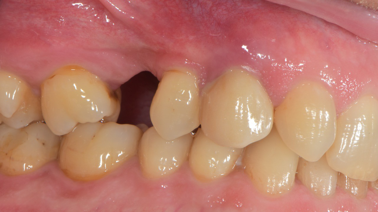
Periimplantitis stellt eine der bedeutendsten biologischen Komplikationen implantatgetragener Versorgungen dar und gefährdet langfristig die Stabilität und Prognose dentaler Implantate. Diese Falldiskussion beleuchtet Pathogenese, Risikofaktoren sowie diagnostische Kriterien und zeigt anhand klinischer Beispiele, wie ein strukturiertes therapeutisches Vorgehen entwickelt werden kann. Dabei werden sowohl nicht-chirurgische als auch chirurgische Behandlungsansätze bewertet und deren Wirksamkeit im individuellen Fall reflektiert. Die Analyse unterstreicht die Bedeutung frühzeitiger Intervention und konsequenter Nachsorge, um den fortschreitenden Knochenabbau zu kontrollieren und eine nachhaltige Implantatgesundheit zu sichern.
Prothetisch tätige Zahnärzt:innen unad Zahntechniker:innen
Anrechenbare Fortbildungszeit: 1 h
Kosten
Live-Webinar   CHF 100.– / CHF 140.–   Abo für 2 Abende
Lernende   CHF 35.–    

Dieser Kurs ist im Abo buchbar mit dem Kurs «Klinische Knacknüsse – Chirurgisches Spektrum in der rekonstruktiven Zahnmedizin» vom 18.11.2025.

Melden Sie sich für die Abomöglichkeit wie folgt an den Kursen an:
Kurs am 04. September 2025: Auswahl Standardpreis
Kurs am 18. November 2025: Auswahl Abopreis


ZZM-Mitarbeitende
Klinik-intern: gratis
Klinik-extern: 50% oder je nach Absprache
PD Dr. Nadja Nänni

Prof. Dr. Daniel Thoma

Kursdaten

Kursnummer Daten Uhrzeit Plätze frei Kursort
KKN 26-04 Di. 24. November 2026 (18:00 Uhr - 19:00 Uhr)
(18:00 - 19:00 Uhr)
38 Online-Kurs Zur Anmeldung